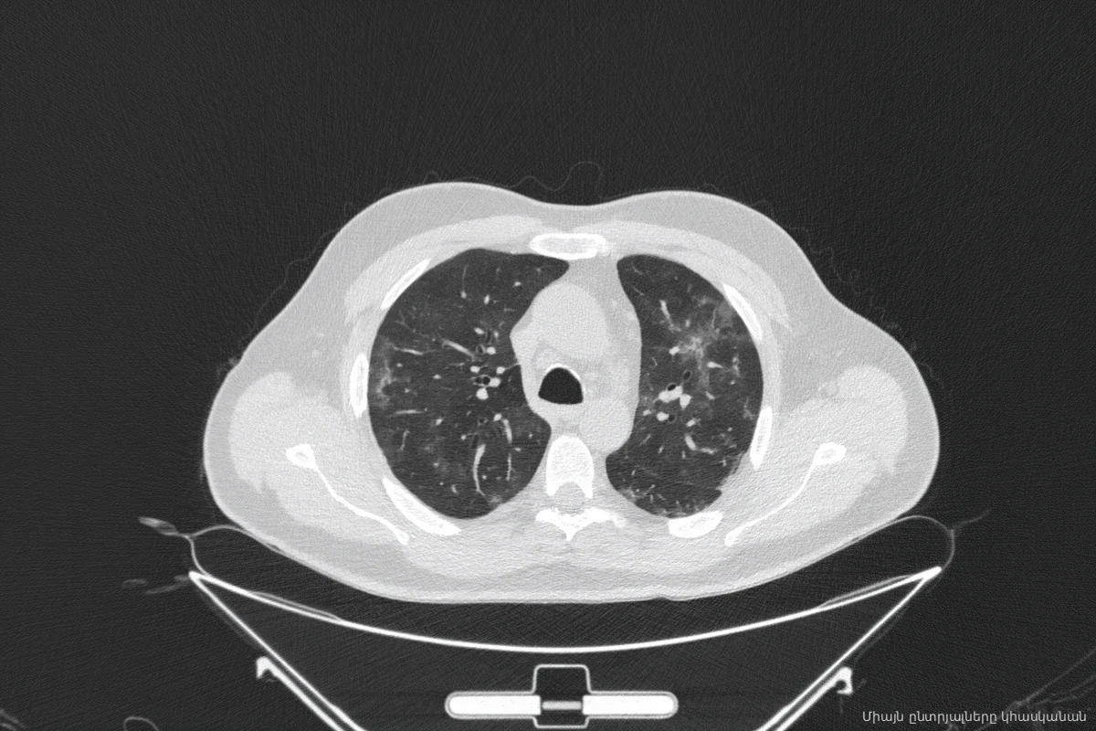
Новосибирская область переходит на новую систему раннего выявления рака легких. Региональный Минздрав утвердил порядок обязательного обследования пациентов из групп риска с помощью низкодозной компьютерной томографии (НДКТ). Ставка сделана на точечную диагностику: медики намерены находить опухоли до того, как они станут смертельно опасными.
Кого проверят в первую очередь
Под прицелом врачей оказались жители региона в возрасте от 50 до 75 лет со стажем курения 30 лет и более, а также те, кто расстался с вредной привычкой менее 15 лет назад. Теперь медики обязаны выявлять таких пациентов не только в ходе плановой диспансеризации, но и при любом обращении в поликлинику. Данные о «курительном стаже» и степени риска сразу фиксируются в единой цифровой системе региона. При этом лишних обследований не будет: если пациент уже проходил НДКТ в последние 11 месяцев, повторную процедуру не назначат. Если же диагностика подтвердит подозрение на опухоль, у клиники есть всего три рабочих дня, чтобы направить человека в центр амбулаторной онкологической помощи и закрепить за ним точную дату приема.
Цифры и скрытые угрозы
Статистика неумолима: типичному пациенту с раком легкого в области от 65 до 69 лет. Это заболевание прочно удерживает четвертое место в региональной структуре онкологии (8,6%). Ситуация с ранним выявлением остается непростой: на начальных стадиях болезнь находят лишь в четверти случаев, в то время как почти 30% диагнозов ставится уже на запущенной, третьей стадии. Помимо табачного дыма, на здоровье жителей влияют специфические региональные факторы: высокая концентрация радона, неблагоприятная экология и тяжелые условия труда на производствах.
Научный подход и цифровой контроль
Борьбу с болезнью усиливают с помощью современных технологий. В конце 2024 года ученые ведущего регионального университета запатентовали базу данных пациентов с немелкоклеточным раком легкого. Массив информации, включающий результаты КТ, МРТ и итоги терапии, стал основой для прогностической модели. Она позволяет врачам персонализировать лечение и заранее оценивать риски осложнений. Контроль за тем, как исполняется новый приказ и как работает система электронной записи на диагностику, закреплен за руководством областного Минздрава.





